Cao răng là một trong những ‘thủ phạm” nguy hiểm gây ra nhiều vấn đề đáng lo ngại đối với sức khỏe răng miệng. Bởi vậy, việc lấy cao răng thường xuyên là vô cùng cần thiết.
![]() |
| Lấy cao răng tại nha khoa định kỳ* |
Lấy cao răng có hại không?
Cao răng là chất cặn lắng cứng có màu vàng nâu, thường đóng xung quanh cổ răng. Thành phần của cao răng gồm carbonat canxi và phosphate phối hợp với cặn mềm (mảnh vụn thức ăn, các chất khoáng trong môi trường miệng), vi khuẩn, xác các tế bào biểu mô. Ngoài ra, còn có sự lắng đọng sắt của huyết thanh trong máu, nước bọt. Cao răng có thể gây viêm nướu và có mùi hôi. Thời gian và quy trình niềng răng hô hàm trên cho trẻ em?
Những mảng bám cao răng được tích tụ càng lâu sẽ dẫn đến tình trạng viêm nhiễm nghiêm trọng hơn như sâu răng và các bệnh về nướu: viêm nướu, viêm nha chu, hôi miệng, ê buốt khi ăn uống, rụng răng, thậm chí có thể gây lở miệng, viêm amidan, viêm họng hay các bệnh về tim mạch….
Bởi vậy, theo các bác sĩ nha khoa, việc lấy cao răng thường xuyên và đúng cách sẽ giúp bạn phòng tránh được hàng loạt các bệnh lý răng miệng nguy hiểm, lấy cao răng có hại không chỉ đơn giản được đặt ra khi mọi người chưa hiểu rõ về những tác dụng của việc lấy cao răng mà thôi.
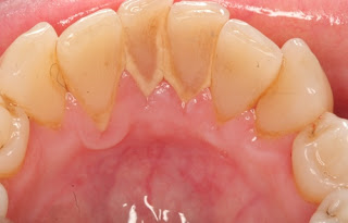
![]() |
| Cao răng gây viêm nướu* |
Những lợi ích của việc lấy cao răng
Làm sạch răng miệng, ngăn ngừa mùi hôi. Chính cao răng là thủ phạm gây hôi miệng ở nhiều người mà bị lầm tưởng trước đó là do thức ăn và đánh răng không sạch. Khi lấy cao răng, hàm răng sẽ sáng bóng hơn, nhìn sạch sẽ và đẹp so với khi cao răng xuất hiện.
Ngăn ngừa viêm nướu, viêm chân răng. Các vi khuẩn ở cao răng thường tấn công nướu gây viêm và sưng. Khi cao răng bị lấy ra thì không còn vi khuẩn có thể làm tổn thương nướu nữa. Khi nướu khỏe mạnh và săn chắc thì chân răng được bảo vệ tốt, không bị sâu, tránh được viêm chân răng.
Giảm nguy cơ mắc bệnh về amidan, viêm họng. Cao răng chứa nhiều chất bẩn và vi khuẩn. Nó sẽ theo nước bọt đi qua họng và amidan rồi đọng lai gây viêm.
![]() |
| Cao răng dưới nướu* |
Chăm sóc sau khi lấy cao răng
Khi mới lấy cao răng, răng của chúng ta rất nhạy cảm cần được chú ý chăm sóc để tránh làm tổn hại men răng và kéo dài thời gian tái bám của mảng bám cao răng:
Đánh răng ít nhất 2 lần/ ngày vào buổi sáng và tối.
Dùng chỉ nha khoa để làm sạch kẽ răng.
Súc miệng với nước muối pha loãng.
Chú ý chế độ ăn uống ảnh hưởng tới việc lấy cao răng có hại không: Nên sử dụng nhiều các loại ngũ cốc, các loại trái cây như cam, táo.. Các loại rau củ quả như cà rốt hay rau giòn như bông cải, súp lơ, dưa leo, rau diếp… cũng giúp hạn chế sự phát triển của cao răng.
Tránh các thực phẩm chứa nhiều đường, chất ngọt như bánh kẹo, socola bởi đây chính là nguyên nhân gây nên tình trạng sâu nặng hoặc viêm nhiễm nướu khi vi khuẩn có thể cư ngụ, thải độc tố và tạo ra axit làm hỏng răng.


